Prótese Cimentada vs. Não Cimentada: Entenda as Diferenças e Quando Cada Uma é Indicada
Você sabe qual a diferença entre prótese de quadril cimentada e não cimentada? Veja como cada técnica funciona, suas indicações, vantagens e quando são mais recomendadas.
por Dr. Gabriel Benevides
5/27/20252 min read


Prótese Cimentada vs. Não Cimentada: Entenda as Diferenças e Quando Cada Uma É Indicada
Introdução
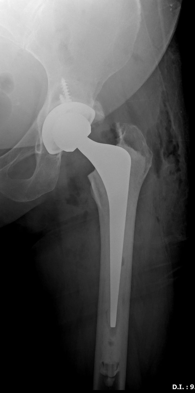
A artroplastia total do quadril é uma das cirurgias ortopédicas mais realizadas no mundo. Entre os diversos fatores que influenciam o sucesso da cirurgia, a forma de fixação dos componentes protésicos é um dos mais relevantes. Neste artigo, vamos explicar as principais diferenças entre prótese cimentada e não cimentada, abordando suas indicações, vantagens e limitações.
O que é uma Prótese Cimentada?
A prótese cimentada utiliza cimento ósseo (polimetilmetacrilato) para promover a fixação imediata dos componentes ao osso. Essa técnica é amplamente utilizada em pacientes idosos, com baixa densidade mineral óssea ou em casos de fratura do colo do fêmur.
Vantagens:
Fixação imediata e estável dos componentes.
Menor dependência da qualidade do osso.
Bons resultados clínicos em longo prazo.
Desvantagens:
Maior tempo cirúrgico e geração de calor durante a cimentação.
Risco de soltura asséptica a longo prazo.
Dificuldade em cirurgias de revisão pela presença do cimento.
O que é uma Prótese Não Cimentada?
Na prótese não cimentada, os componentes apresentam superfícies porosas ou revestidas com materiais como hidroxiapatita, que permitem a osteointegração. A fixação ocorre biologicamente, à medida que o osso cresce e se incorpora ao implante.
Vantagens:
Potencial para maior durabilidade a longo prazo.
Facilita futuras cirurgias de revisão.
Menor risco de reação adversa ao cimento ósseo.
Desvantagens:
Fixação inicial menos estável.
Requer boa qualidade óssea.
Pode causar dor femoral transitória no pós-operatório inicial.
Principais Fatores que Influenciam a Escolha
A decisão entre cimento ou osteointegração é baseada em uma avaliação criteriosa dos seguintes aspectos:
Idade do paciente.
Qualidade óssea (avaliada por exames de imagem ou DMO).
Nível de atividade física.
Tipo de patologia (ex: artrose, fratura, necrose).
Expectativas em relação à durabilidade e mobilidade.
Evidências Científicas: Existe Diferença nos Resultados?
Estudos populacionais mostram que ambas as técnicas apresentam sobrevidas comparáveis quando bem indicadas. Em pacientes jovens e ativos, a fixação não cimentada tem mostrado bons resultados com menor taxa de afrouxamento. Em idosos com osso osteoporótico, a cimentação ainda é preferida por garantir estabilidade imediata. A prótese híbrida (copo cimentado e haste não cimentada) também tem sido uma alternativa com bons resultados em grupos selecionados.
Conclusão
A escolha entre prótese cimentada e não cimentada é individualizada, baseada em critérios clínicos, anatômicos e funcionais. Ambas são seguras e eficazes quando bem indicadas e implantadas por equipe especializada.
Agende sua Consulta
Se você tem dúvidas sobre qual tipo de prótese é mais adequada para o seu caso, agende uma avaliação com um especialista em cirurgia de quadril. A decisão correta pode garantir maior durabilidade, segurança e qualidade de vida no pós-operatório.
Consultas - São Paulo
Consultório Moema
Av. Açocê, 50
Ligações: (11) 4935-9945
E-mail:
contato@drgabrielbenevides.com.br
Agendamentos:
Whatsapp: (11) 9 7878-0538
© 2025. All rights reserved.




